Email: drshrikaantkothekar@gmail.com
Phone (Clinic): +91-712-2237551
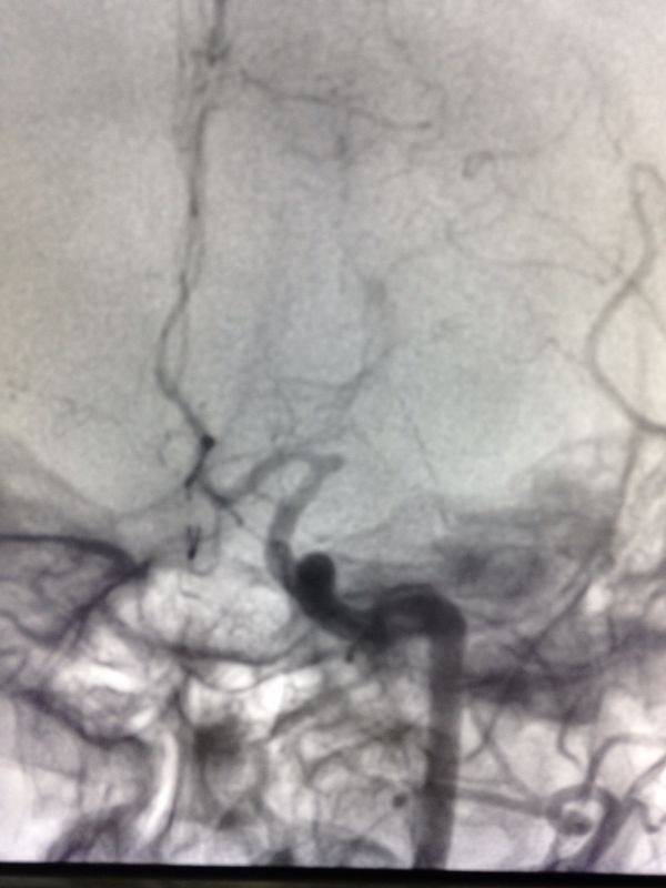
Rare Surgery performed at CIIMS | Uterine Fibroid Embolization : Preserve Womanhood | Fallopian Tube Recanalisation : Cherish Womanhood | Brain stroke | Peripheral Vascular Disease
Interesting Cases

Today on 1st October with the grace of Almighty, my Parents & Family, I completed 25 years in private Vascular & Neuro-Interventional Radiology practice. How fast the years fly... ! Journey started 3 decades ago with sparse medical equipments provided for supporting imaging modalities, in room no 8 of Radiology department, at my alma mater in 1985. I joined the few bunches of Mavericks, who happened to be my seniors & colleagues . ...Those days enthusiasm was in abundance , though groping in dark & being dominated by challenges were not uncommon. Thanks to great visionaries, Doyens of Interventional Radiology Scientists & Bioengineers who worked relentlessly & took IR to new tall level. Today imaging science is so very advanced, that you actually have a feeling of sailing through the vast network of human vasculature. I take this opportunity to thank all my Anaesthesist colleagues, Cath Lab technicians, Nursing & House keeping staff, whose experiences do help in unnerving situations. They are the pillar strength of cath Labs ! How can I not acknowledge the faith reposed in me by Seniors ( I revere them all) , Contemporaries, Juniors & innumerable patients all through these years ! Over the years their support & feedback helped me constructing confidence on solid foot ! I remain indebted to all who are actual part of planting Vascular & Neuro-Interventional Radiology in Central India to make it flourish to today's scenario ! And JOURNEY continues seeking your wishes....!!!



Top